Diş sağlığı, yaşam kalitemizi doğrudan etkileyen en önemli unsurlardan biridir. Zamanla kaybedilen dişler, yalnızca estetik değil, aynı zamanda fonksiyonel anlamda da zorluklar yaratabilir. Neyse ki, teknolojinin ilerlemesiyle birlikte, kaybedilen dişlerin yerine konan çözümler de her geçen gün daha güvenilir ve estetik hale geliyor. Yeditepe Diş Kliniği olarak, eksik dişlerinizi kalıcı ve doğal bir şekilde yeniden kazanmanızı sağlayacak All-on-6 implant tedavisini sunuyoruz.
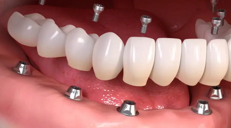
All-on-Six, çene kemiğine altı titanyum implant yerleştirerek bir köprü oluşturur ve bu köprü üzerine diş protezleri yerleştirilir. Bu tedavi, tek bir seansta, tamamen doğal görünümlü ve işlevsel bir gülüşe kavuşmanızı sağlar. Üstelik sadece estetik değil, günlük yaşamda rahatça yemek yiyebilmenize, konuşabilmenize ve gülümsemenizi özgürce sergileyebilmenize olanak tanır. Yeditepe Diş Kliniği olarak, size en uygun tedavi planını belirlemek için her adımda yanınızda olacağız.
Sizlere en iyi hizmeti sunmayı ve gülüşünüzü yeniden kazanmanızı sağlamayı kendimize bir misyon edindik. Çünkü her gülüşün, özgüvenin ve mutluluğun bir yansıması olduğuna inanıyoruz.
Nedir?
All-on-Six implant tedavisi, eksik dişlerin yerine kalıcı bir çözüm sunan, gelişmiş bir diş tedavi yöntemidir. Bu tedavi, çene kemiğine altı adet titanyum implant yerleştirilerek, dişlerinizi yeniden kazanmanızı sağlar. Altı implant, üst veya alt çene için yeterli desteği sağlamak adına stratejik olarak yerleştirilir ve üzerine sabit bir protez diş seti yerleştirilir.
Bu tedavi, genellikle tam dişsizlik ya da ileri derecede diş kaybı yaşayan hastalar için uygulanır. All-on-Six, All-on-Four tedavisinin gelişmiş bir versiyonudur; burada dört yerine altı implant kullanılır, böylece daha güçlü bir destek sağlar.

Tedavi Süreci Nasıldır ve Nasıl Yapılır?
All-on-Six implant tedavisinin süreci genellikle birkaç aşamadan oluşur ve her aşama, hastaların ihtiyacına göre özelleştirilebilir. İşte tedavi sürecinin genel adımları:
- İlk Değerlendirme ve Planlama: Tedavi süreci, diş hekimiyle yapılan kapsamlı bir muayene ile başlar. Ağız yapınız, çene kemiğinizin durumu ve genel sağlık durumunuz dikkatlice incelenir. Gerekli durumlarda, 3D tomografi veya röntgen gibi ileri görüntüleme teknikleri kullanılarak çene yapınızın detayı incelenir. Bu aşama, tedavi planınızı belirlemek ve implantların doğru yerleştirileceği alanları tespit etmek için çok önemlidir. Ayrıca, tedavi süresi, uygulanacak malzemeler ve fiyatlandırma hakkında bilgi verilir.
- İmplant Yerleştirilmesi: Tüm planlama yapıldıktan sonra, işlem günü gelir. All-on-Six tedavisinde, altı adet titanyum implant çene kemiğine yerleştirilir. İşlem genellikle lokal anestezi altında yapılır, bu sayede işlem sırasında ağrı hissetmezsiniz. İmplantlar, çene kemiğine sabitlenir ve yaklaşık 2 ila 6 ay süren bir iyileşme süreci başlar. Bu süre zarfında, implantlar çene kemiğiyle kaynaşarak güçlü bir bağ oluşturur.
- Geçici Protez Uygulaması: İmplantların yerleştirilmesinin ardından, hasta geçici bir protezle günlük yaşamına devam eder. Bu geçici protez, estetik ve fonksiyonel açıdan hastanın rahat etmesini sağlar. Geçici protez, çene kemiğiyle tam entegrasyon sağlanana kadar kullanılır. Bu süre zarfında dişlerinizi kullanabilmeniz, konuşabilmeniz ve yemek yiyebilmeniz mümkün olur.
- Kalıcı Protezlerin Yerleştirilmesi: İmplantlar tamamen iyileştikten ve çene kemiğiyle entegrasyonu sağlandıktan sonra, kişiye özel olarak tasarlanmış kalıcı protez dişler yerleştirilir. Bu protezler, doğal dişleri andıran estetik bir görünüme sahip olup, aynı zamanda sağlam ve fonksiyonel olacaktır. Hastalar, artık eksik dişlerinden tamamen kurtulmuş olur ve doğal bir gülüşe kavuşurlar.
- Takip ve Bakım: Tedavi sürecinin sonunda, düzenli kontroller için diş hekiminize başvurmanız önemlidir. İmplantların ve protezlerin sağlıklı bir şekilde işlev görmesini sağlamak için düzenli bakım ve temizlik önerilir. İyi bir ağız hijyeni, implantların ömrünü uzatır ve komplikasyon risklerini azaltır.
Uzmanımız Diyor Ki?
All-on-Six tedavi süreci, detaylı bir planlama ile başlar ve birkaç aşamadan geçer. Çene kemiğine implantların yerleştirilmesi, geçici protez uygulaması, ardından kalıcı protezlerin yerleştirilmesi ile sonlanır. Süreç sonunda, hem estetik hem de fonksiyonel olarak güçlü bir gülüşe kavuşmak mümkün olur.
Kullanılan Malzemeler Nelerdir?
All-on-Six tedavisinde kullanılan malzemeler, tedavinin başarısı ve uzun ömürlülüğü açısından büyük önem taşır. İmplantlardan diş protezlerine kadar birçok bileşen, hastaların rahatını ve tedavi sonucunun kalitesini etkiler. İşte All-on-Six tedavisinde kullanılan başlıca malzemeler:
1. Titanyum İmplantlar:
All-on-Six tedavisinde en yaygın kullanılan implant malzemesi titanyumdur. Titanyum, vücutla uyumlu (biyouyumlu) ve güçlü bir malzemedir, çene kemiğiyle mükemmel bir şekilde kaynaşır.
Özellikleri: Dayanıklıdır, paslanmaz, hafif ve uzun ömürlüdür. Titanyum implantlar, çene kemiği ile entegrasyona girebilir ve uzun süreli bir çözüm sunar.
2. Porselen Diş Protezleri:
All-on-Six tedavisinin sabit protez kısmı için genellikle porselen veya zirkonyum kullanılır. Porselen, estetik açıdan doğal dişlere benzer bir görünüm sağlar ve dayanıklıdır.
Özellikleri: Porselen, doğal dişler gibi ışığı geçirir ve diş etiyle uyum sağlar, böylece estetik sonuç elde edilir. Ayrıca, zirkonyum diş protezleri, metal içermeyen ve son derece dayanıklı bir alternatiftir.
3. Zirkonyum İmplantlar (Alternatif):
Zirkonyum, özellikle estetik sonuçlar önemli olduğunda tercih edilen bir malzemedir. Çene kemiğiyle iyi uyum sağlar ve titanyum implantlara alternatif olarak kullanılabilir.
Özellikleri: Metal içermediği için alerjik reaksiyon riski yoktur ve estetik açıdan son derece doğal bir görünüm sağlar.
4. Diş Abutment’ları:
Abutment, implant ve protez arasında bağlantıyı sağlayan parçalardır. Genellikle titanyum veya zirkon malzemesinden yapılır.
Özellikleri: Abutment’lar, implantın üzerine protez dişin sabitlenmesini sağlar. Hem titanyum hem de zirkon, güçlü ve biyouyumlu malzemelerdir.
5. Kompozit ve Akrilik Malzemeler (Geçici Protezler):
Geçici protezler için genellikle kompozit veya akrilik malzemeler kullanılır. Bu malzemeler, implantlar iyileşene kadar dişsiz kalan hastalar için estetik ve fonksiyonel geçici çözümler sunar.
Özellikleri: Bu malzemeler, geçici protezlerin hızlı bir şekilde yapılmasını sağlar ve tedavi süresi boyunca hastanın rahat etmesine yardımcı olur.
6. Seramik Malzemeler (Kalıcı Dişler):
Kalıcı diş protezleri için seramik kullanımı yaygındır. Bu malzeme, dişin doğal rengini ve görünümünü taklit eder.
Özellikleri: Seramik dişler, dayanıklı, estetik açıdan doğal görünümlü ve uzun ömürlüdür. Ayrıca, diş etiyle uyumlu olup, doğal dişler gibi görünümlerine olanak tanır.
7. Biyouyumlu Diğer Malzemeler:
İmplant ve protez tasarımlarında kullanılan malzemeler genellikle biyouyumlu olup, vücutla iyi bir entegrasyon sağlar. Altın, platinyum gibi nadir kullanılan malzemeler de bazı özel durumlar için tercih edilebilir.
Bu malzemeler, tedavinin başarı oranını, dayanıklılığını ve estetik sonucunu doğrudan etkileyen unsurlardır. Diş hekiminiz, sizin özel ihtiyaçlarınıza ve çene yapınıza göre en uygun malzeme seçimlerini yaparak en iyi sonuçları elde etmenize yardımcı olacaktır.
Avantajları Nelerdir?
All-on-Six implant tekniğinin avantajları, hem estetik hem de fonksiyonel olarak doğal dişlere yakın sonuçlar sunmasıdır. İşte bu tekniğin bazı önemli avantajları:
- Daha Fazla Destek ve Stabilite: Altı implant kullanılması, protezin daha fazla destek ve stabilite ile yerleştirilmesini sağlar. Bu, özellikle kemik yoğunluğu düşük olan hastalar için ekstra stabilite sağlar.
- Kısa Tedavi Süresi: İmplantlar stratejik olarak yerleştirilir ve genellikle geçici protezler, işlemden hemen sonra hastalara takılır. Bu, iyileşme sürecinde hastaların dişsiz kalmamasını sağlar ve tedavi süresini kısaltır.
- Az Kemik Kaybı: Altı implantın kullanılması, çene kemiği üzerindeki yükü dengeli bir şekilde dağıtarak kemik kaybını azaltabilir.
- Estetik ve Fonksiyonel Avantajlar: Doğal bir gülüşe sahip olmak, hastaların sosyal ilişkilerinde öz güvenini artırır ve günlük yaşam aktivitelerini daha kolay bir şekilde gerçekleştirmelerine yardımcı olur.
- Tek Seanslı Uygulama: All-on-Six implant tedavisi, tek bir cerrahi işlemde tamamlanabilir ve hastalar aynı gün içinde sabit diş protezine sahip olabilir.
All On Six İmplant Tekniği Diğer İmplant Yöntemlerine Göre Ne Kadar Avantajlıdır?
All-on-Six implant tekniği, diğer implant yöntemlerine göre several avantajlara sahiptir. Bu teknikte, altı adet dental implant kullanılarak sabit bir protez yerleştirilir. Bu sayede hastalar, daha fazla destek ve stabilite elde ederler. Özellikle kemik yoğunluğu düşük olan veya daha fazla diş kaybı yaşayan hastalar için daha dayanıklı protezler anlamına gelir. Ayrıca, tedavi süreci hızlıdır ve genellikle aynı gün geçici protezler takılır, bu da hastaların hızla normal yaşantılarına dönmelerini sağlar.
All-on-Six tekniği, hem estetik hem de fonksiyonel olarak doğal dişlere en yakın sonuçları verir. Hastalar, doğal dişlerle benzer bir görünüm ve fonksiyon elde ederler. İmplantlar, çene kemiği ile bütünleşerek kemik kaybını önler ve kemiğin sağlıklı kalmasını sağlar. Titanyumdan üretilen implantlar, yüksek dayanıklılığa sahiptir ve doğru bakım ile ömür boyu kullanılabilir. Ancak, her hasta için uygun olmayabilir ve cerrahi bir işlem gerektirir. Bu nedenle, hastanın genel sağlık durumu ve ağız yapısı incelenerek uygunluk kararı verilir.
All-on-Four ile All-on-Six Arasındaki Fark Nedir?

All-on-Four ve All-on-Six tedavileri arasındaki en büyük fark, kullanılan implant sayısıdır. All-on-Four tedavisinde çene kemiğine dört implant yerleştirilirken, All-on-Six tedavisinde altı implant kullanılır. Bu, All-on-Six’in daha fazla stabilite ve dayanıklılık sunduğu anlamına gelir. Altı implant, daha fazla destek sağlar ve uzun vadede daha sağlam bir çözüm sunar.
Diğer yandan, All-on-Four daha kısa işlem süresi ve daha düşük maliyetle öne çıkar, ancak sadece dört implant kullanıldığı için stabilite biraz daha sınırlı olabilir. All-on-Six, daha fazla implant sayesinde daha dengeli ve estetik sonuçlar verir, ancak tedavi süresi ve maliyet açısından biraz daha fazla olabilir. Hangi tedavinin daha uygun olduğunu belirlemek için bir diş hekimi ile görüşmek en doğru yol olacaktır.
All On Six İmplant Kimler İçin Uygundur?
All-on-Six tedavisi, diş kaybı yaşayan ve dişlerini tamamen kaybetmek üzere olan kişiler için ideal bir çözümdür. Bu tedavi, özellikle aşağıdaki durumlar için uygundur:
- Tam dişsizlik veya ileri derecede diş kaybı yaşayan kişiler: Dişlerin büyük bir kısmı ya da tamamı kaybolmuş olan hastalar, All-on-Six tedavisi ile eksik dişlerinin yerine kalıcı ve fonksiyonel bir çözüm elde edebilirler.
- Çene kemiği yeterli olan hastalar: İmplantlar çene kemiği ile birleşerek sabit bir destek sağlar. Bu nedenle, yeterli çene kemiği yapısına sahip olan kişiler için ideal bir tedavi seçeneğidir. Kemik kaybı yaşayan kişilerde, kemik grefti uygulamaları da tedaviye dahil edilebilir.
- Hareketli protez kullanan kişiler: Hareketli protezlerden memnun olmayan veya sürekli protezlerini çıkarmak zorunda kalan kişiler, sabit bir çözüm arayışındaysa All-on-Six tedavisi oldukça avantajlıdır. Bu tedavi, protezlerin sabitlenmesiyle yaşam kalitesini artırır.
- Genel sağlık durumu iyi olan kişiler: İmplant tedavisi genel anestezi veya lokal anestezi gerektirebilir. Bu nedenle, tedaviye uygun olmak için hastaların genel sağlık durumunun iyi olması önemlidir.
All-on-Six tedavisi, estetik ve fonksiyonel açıdan önemli kazançlar sağlasa da, her hasta için uygun olmayabilir. Bu nedenle, bir diş hekimiyle yapılacak kapsamlı bir değerlendirme ve planlama, en iyi sonuçları elde etmek için gereklidir.
Kimler İçin Uygun Değildir?
All-on-Six implant tekniği her hasta için uygun değildir. Uygunluk kararı, hastanın genel sağlık durumu, ağız ve diş sağlığı, çene yapısı ve dişsizlik durumu incelenerek verilir. Aşağıdaki durumlar, All-on-Six implant tekniği için uygun olmayan hasta gruplarını içerir:
- Yetersiz Kemik Hacmi: Çene kemiği yeterli olmayan hastalar, All-on-Six implant tekniği için uygun değildir. Ancak, kemik grefti ile bu sorun aşılabilmektedir.
- Ciddi Sistemik Sağlık Sorunları: Kontrolsüz diyabet, kalp hastalıkları gibi ciddi sistemik sağlık sorunları olan hastalar için All-on-Six implant tekniği uygun değildir.
- Kronik Enfeksiyonlar: Aktif enfeksiyonlar veya kronik enfeksiyonlar, implant başarısızlığına neden olabileceğinden bu hastalar için uygun değildir.
- Kontrolsüz Osteoporoz: Kemik erimesi yaşayan ve osteoporozu kontrolsüz olan hastalar, All-on-Six implant tekniği için uygun değildir.
- Sigara İçmek: Sigara içmek, implant başarısızlığını artırabileceğinden göreceli bir kontrendikasyondur.
- İleri Yaş: İleri yaş, göreceli bir kontrendikasyon olarak kabul edilebilir, ancak bu durum hastanın genel sağlık durumuna bağlıdır.
- Kötü Ağız Hijyeni: Ağız hijyeni kötü olan hastalar, implant başarısızlığını artırabileceğinden dikkatli bir şekilde değerlendirilirler.
Tedavi Ne Kadar Sürer?
All-on-Six implant tedavisinin toplam süresi genellikle 4 ila 6 ay arasında değişir. İlk aşama, diş hekimiyle yapılan değerlendirme ve planlama süreciyle başlar. Bu adımda, ağız yapınız, çene kemiğinizin durumu ve genel sağlık koşullarınız gözden geçirilir. Eğer her şey uygunsa, implantların yerleştirilmesi için hazırlanılır. İmplantların çene kemiğiyle kaynaşması ve tam entegrasyon sağlaması için yaklaşık 2 ila 6 ay süreyle beklenir. Bu süre boyunca hastalar geçici protez kullanarak normal yaşantılarına devam edebilirler.
İmplantlar tamamıyla iyileştikten sonra, kişiye özel kalıcı protezler hazırlanarak yerleştirilir. Bu süreç, diş hekiminizin titizlikle ölçü alması ve protezlerin tam uyumlu olması için birkaç hafta sürebilir. Sonuç olarak, All-on-Six tedavisi toplamda birkaç ay sürebilse de, tedavi sonrasında uzun vadeli ve doğal görünümlü bir çözüm elde edilmiş olur.
Tedavi Sonrası İyileşme Süreci Nasıl Olmalıdır?
All-on-Six tedavisinin ardından, ilk günlerde hafif şişlik, morarma ve ağrı gibi belirtiler görülebilir. Bu, implant yerleştirme işlemi sonrası çene dokusunun iyileşmesi sürecinin doğal bir parçasıdır ve genellikle birkaç gün içinde kendiliğinden geçer. Diş hekiminiz, bu tür rahatsızlıkları hafifletmek için ağrı kesici önerilerde bulunabilir ve gerektiğinde soğuk kompres uygulama gibi önerilerde bulunabilir. Ayrıca, geçici diş protezleri tedavi sürecinde hastaların rahat etmesini sağlamak için yerleştirilir.
İyileşme süreci boyunca, dişlerinizi düzenli olarak temizlemeye devam etmeniz önemlidir ancak ilk birkaç gün sert fırçalamaktan kaçınmalısınız. İmplantlar çene kemiğiyle kaynaşırken, ağız hijyeninizi korumak için dikkatli olmalı, aşırı ısırma veya sert yiyeceklerden kaçınmalısınız. İmplantlar tamamen entegrasyona ulaştığında, kalıcı protezler yerleştirilecektir ve bu noktada tedavi süreciniz tamamlanmış olur. Düzenli takip randevuları ile implantlarınızın sağlıklı bir şekilde uzun yıllar boyunca işlev görmesini sağlayabilirsiniz.
Ağrı Olur Mu?
All-on-Six tedavisinde genellikle minimal ağrı yaşanır, çünkü işlem sırasında lokal anestezi uygulanır ve bu sayede implant yerleştirilmesi sırasında herhangi bir ağrı hissedilmez. Ancak, tedavi sonrasında birkaç gün sürebilecek hafif bir ağrı, şişlik veya rahatsızlık olabilir. Bu, doğal bir iyileşme sürecinin parçasıdır ve çoğunlukla birkaç gün içinde kendiliğinden azalır.
Ağrıyı yönetmek için, diş hekiminiz ağrı kesiciler ve soğuk kompres gibi önerilerde bulunabilir. Çoğu hasta, tedavi sonrasında ağrıyı kontrol altına alabilir ve birkaç gün içinde rahatlamaya başlar. Tedavi sürecinin tamamlanmasının ardından, kalıcı protezler yerleştirildiğinde hastalar genellikle daha az rahatsızlık hissederler.
All On Six İmplant Tekniği İçin Ek Prosedürler Nelerdir?
All-on-Six tedavisinin başarılı olabilmesi için yeterli çene kemiği desteği gereklidir. Ancak bazı hastalarda, çene kemiği yapısı yeterince güçlü ya da geniş olmayabilir. Böyle durumlarda, çene kemiğinin güçlendirilmesi ve iyileştirilmesi için sinüs kaldırma ve kemik grefti gibi ek prosedürler uygulanabilir.
Sinüs kaldırma, özellikle üst çene arka bölgelerinde çene kemiği yeterli olmadığında devreye girer. Sinüs boşlukları yukarı kaldırılır ve bu boşluğa kemik eklenerek çene kemiğinin hacmi artırılır. Bu işlem, implantların çene kemiğine düzgün bir şekilde yerleştirilebilmesi için gereklidir.
Kemik grefti ise, çene kemiğinde kayıp olan bölgelerde kemik eklenmesi işlemidir. Eğer çene kemiği yeterli değilse, kemik grefti ile bu bölgelere yeni kemik dokusu eklenir. Kemik greftleri, hastanın kendi kemiğinden alınabileceği gibi, sentetik ya da donör kemiği de kullanılabilir. Bu işlem, implantların stabil bir şekilde yerleşmesini sağlamak ve uzun vadeli başarıyı garantilemek için son derece önemlidir.
Ancak, sinüs kaldırma ve kemik grefti işlemleri her hastada gerekli olmayabilir. Diş hekiminiz, çene yapınızı detaylı bir şekilde inceledikten sonra, bu prosedürlerin sizin için uygun olup olmadığına karar verecektir. Eğer çene kemiğiniz yeterli ise, bu ek müdahalelere gerek kalmadan All-on-Six tedavisi tamamlanabilir.
All On Six İmplant Fiyatları Nelerdir?
All-on-Six implant tedavisi, eksik dişleri olan veya dişlerini kaybetmiş hastalar için etkili bir çözüm sunar. Türkiye’de bu tedavi için fiyatlar, kullanılan malzemeler, klinik deneyimi ve coğrafi konum gibi faktörlere bağlı olarak değişiklik gösterebilir.
Yeditepe Diş Kliniği olarak, her hastanın ihtiyaçlarına özel tedavi planları sunuyoruz. Fiyatlandırma, tedavi süreci ve kullanılan malzemeler hakkında daha detaylı bilgi almak için bizimle iletişime geçebilirsiniz. Randevu almak veya sorularınızı iletmek için İletişim sayfamızı ziyaret edebilirsiniz.
All On 6 İmplant Tekniği Özeti
All-on-Six implant tekniği hakkında bilmeniz gerekenleri özet tablosunda görüntüleyin.
| Tedavi Adımı | Detaylar |
|---|---|
| Tedavi Süreci | All-on-Six implantlarının yerleştirilmesi ve sabit protez yerleştirilmesi |
| Kalış Süresi | Ortalama 10-15 yıl (doğru bakım ve hijyen ile daha uzun süre) |
| Ziyaret Sayısı | 3-4 ziyaret (ilk muayene, implant yerleştirme, protez yerleştirme, takip) |
| Tedavi Süresi | 2-3 saat (implant yerleştirme işlemi) |
| Anestezi | Lokal anestezi (sedasyon opsiyonu mevcut) |
| İyileşme Süresi | 2-6 ay (implantların çene kemiğiyle kaynaşması için) |
| Geçici Protez | İmplant yerleştirildikten sonra, 1-2 hafta içerisinde yerleştirilir |
| Kalıcı Protez Yerleştirilmesi | 2-6 ay sonra (implantların tam iyileşmesinden sonra) |
| Takip Ziyareti | İlk birkaç hafta sonra ve sonrasında 6 aylık periyotlarla düzenli kontrol |
All On 6 İçin En Doğru Adres Yeditepe Diş Kliniği
All-on-Six tedavisi, diş sağlığınızda kalıcı ve güvenilir bir çözüm arayanlar için mükemmel bir tercihtir. Yeditepe Diş Kliniği olarak, uzman kadromuz ve son teknoloji ekipmanlarımızla bu tedaviyi yüksek kaliteyle sunuyoruz. Her bireyin ihtiyacı farklıdır ve biz, her hastamız için kişiye özel tedavi planları hazırlayarak en iyi sonuçları elde etmeyi amaçlıyoruz. Çene yapınız ve sağlık durumunuz doğrultusunda en uygun çözümü sunmak için titizlikle çalışıyoruz. Mükemmel bir gülüş ve sağlıklı dişler, hayat kalitenizi doğrudan etkiler ve All-on-Six ile bu hedefi yakalamak çok daha kolay.
Eğer siz de eksik dişlerinizi kalıcı ve estetik bir çözümle geri kazanmak istiyorsanız, Yeditepe Diş Kliniği size bu yolculukta rehberlik etmek için hazır. Sizin için en uygun tedavi yöntemini belirlemek ve diş sağlığınızı yeniden kazanmak adına bizlere her zaman ulaşabilirsiniz. Gülüşünüzü yeniden keşfedin, özgüveninizi artırın ve yaşam kalitenizi yükseltin. İletişim sayfamız üzerinden bizimle iletişime geçebilir, sorularınızı sorabilir ve randevu alabilirsiniz. Sizi kliniğimizde ağırlamaktan büyük mutluluk duyarız!
