Dişsizlik, yalnızca estetik bir sorun değil, aynı zamanda kişinin genel sağlık ve yaşam kalitesini de olumsuz etkileyen önemli bir durumdur. Geleneksel diş tedavi yöntemleri bazen yetersiz kalabilir veya uzun iyileşme süreçleri gerektirebilir. İşte tam da bu noktada, All On 4 implant tekniği, dişsizlik sorunu yaşayan bireylere hızlı, etkili ve uzun ömürlü bir çözüm sunuyor. Dört adet titanyum implant ile çene kemiğine yerleştirilen sabit protezler, hem fonksiyonel hem de estetik açıdan doğal dişlere en yakın deneyimi sağlar. Bu yazıda, All On 4 implant tedavisi hakkında nasıl çalıştığını, avantajlarını, kimler için uygun olduğunu ve tedavi sürecinin tüm aşamalarını detaylı bir şekilde ele alacağız.
All On 4 İmplant Nedir?
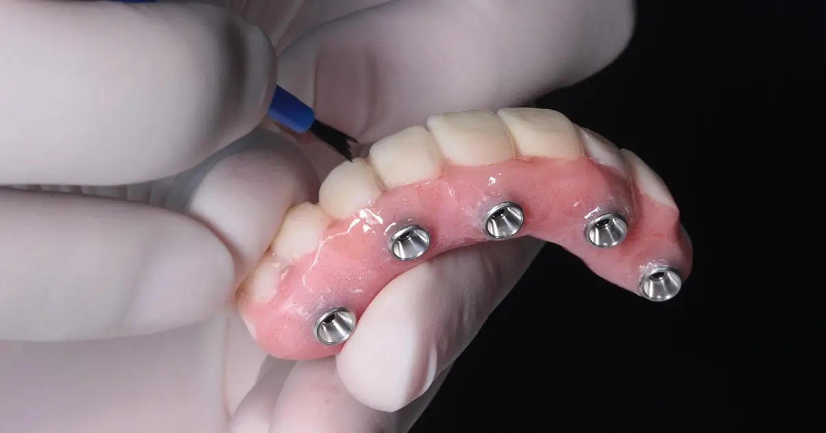
All On 4, çene kemiğinde ciddi kayıplar yaşamış ve tam dişsizlik problemi yaşayan bireyler için geliştirilmiş, devrim niteliğinde bir diş tedavi yöntemidir. Adını, tedavi tekniğinde kullanılan dört implanttan alır. All On 4, dört adet titanyum implant yerleştirilerek, sabit bir protez diş seti oluşturulmasını sağlar. Ancak bu tedavi, sadece diş eksikliğini gidermekle kalmaz, aynı zamanda estetik ve fonksiyonel anlamda doğal dişlere yakın bir deneyim sunar.
All On 4 sisteminin en önemli avantajlarından biri, implantların özel bir açıyla yerleştirilmesi sayesinde çene kemiğinden maksimum destek almasıdır. İki implant ön bölgede dik açıyla, diğer iki implant ise çene kemiğinin daha yoğun olduğu arka bölgeye 30-45 derece eğimli olarak yerleştirilir. Bu yöntem, daha az cerrahi müdahale gerektirir ve geleneksel implant yöntemlerine kıyasla iyileşme sürecini önemli ölçüde hızlandırır.

All On 4 İmplantın Temel Özellikleri
- Hızlı ve Etkili: All On 4, dişsizlik sorununu hızla çözen, tek seansta geçici diş yerleştirilebilen bir yöntemdir.
- Az Sayıda İmplant ile Maksimum Destek: Sadece dört implant ile tam bir diş seti oluşturulabilir, bu da tedavi sürecini daha kısa ve daha ekonomik hale getirir.
- İleri Cerrahi İşlemlere Gerek Yoktur: Genellikle kemik grefti veya sinüs lifting gibi ileri cerrahi işlemler gerektirmez. Bu da iyileşme sürecini hızlandırır.
All On 4 İmplant Tedavi Süreci Nasıl İşler?
All On 4 tedavi süreci, her aşaması özenle planlanan ve cerrahi deneyim gerektiren bir tedavi yöntemidir. Aşağıda, bu sürecin her aşamasını detaylı bir şekilde açıklıyoruz:
- Kapsamlı Muayene ve Tedavi Planlaması: Tedavi süreci, önceki tıbbi geçmişiniz, çene yapınız, diş sağlığınız ve genel sağlığınızın değerlendirilmesiyle başlar. Bu aşamada, doktorunuz dijital tomografi, panoramik röntgen ve 3D modelleme teknolojileri gibi gelişmiş araçlar kullanarak çene kemiğinizin durumunu detaylı bir şekilde analiz eder. Çene kemiğinizin yoğunluğu, diş eti sağlığınız ve genel sağlık durumu da göz önünde bulundurularak, size özel bir tedavi planı oluşturulur.
- İmplant Yerleştirme: All On 4 tedavisinin bir diğer önemli aşaması ise implant yerleştirilmesidir. Bu işlem genellikle lokal anestezi altında yapılır, bu nedenle işlem sırasında ağrı hissedilmez. Diş hekimi, dört implantı çene kemiğine dikkatlice yerleştirir. İmplantlar, çene kemiğine mükemmel uyum sağlayacak şekilde konumlandırılır. Bazı durumlarda, mevcut dişler çekilebilir veya diş eti hastalıkları tedavi edilebilir.
- Geçici Protezlerin Takılması: İmplantların yerleştirilmesinin ardından, geçici bir protez diş seti hemen yerleştirilir. Bu geçici protezler, hastanın normal yaşamına devam edebilmesi için önemli bir rol oynar. Ayrıca, tedavi süreci boyunca dişsiz kalmanızı engeller.
- İyileşme Süreci: İmplantların çene kemiğiyle kaynaşma süreci birkaç ay sürebilir. Bu süre, genellikle 3 ile 6 ay arasında değişir. İmplantlar çene kemiğiyle entegrasyonunu tamamladıktan sonra, kalıcı protezler yerleştirilir. Bu süre zarfında, hastaların düzenli kontrolleri yapılır.
- Kalıcı Protezlerin Yerleştirilmesi: İmplantlar çene kemiğiyle kaynaştıktan sonra, estetik ve fonksiyonel açıdan ideal olan kalıcı protezler yerleştirilir. Bu protezler, hastanın doğal dişlerine en yakın şekilde tasarlanır ve her açıdan en yüksek verimi sağlamak için dikkatlice uyarlanır.
All On 4 İmplantın Avantajları
All On 4 tekniği, geleneksel implant yöntemlerine göre birçok önemli avantaj sunar. Bu avantajları daha detaylı olarak inceleyelim:
- Hızlı Sonuç ve Az Sayıda Seans: All On 4, dişsizlik tedavisinde hızlı bir çözüm sunar. Aynı gün geçici protezlerin yerleştirilmesi sayesinde, hasta hemen dişsiz kalmaz ve günlük yaşantısına devam edebilir. Bu, hem fiziksel hem de psikolojik olarak önemli bir avantajdır.
- Daha Az Cerrahi Müdahale: Geleneksel implant tedavileri genellikle daha fazla cerrahi müdahale gerektirir. Kemik grefti, sinüs lifting gibi işlemler gerekebilir. All On 4 yöntemi ise, çene kemiğinin doğal yapısından maksimum fayda sağlamak için özel olarak tasarlanmıştır ve bu nedenle genellikle ek cerrahi müdahalelere gerek duyulmaz.
- Ekonomik ve Maliyeti Düşüren Çözüm: All On 4, daha az implant kullanımı ve daha az cerrahi işlem gerektirdiği için tedavi maliyetini önemli ölçüde düşürür. Bu, tedavi sürecinde ciddi maliyet tasarrufu sağlar.
- Estetik ve Fonksiyonel Olarak Doğal Sonuçlar: Sabit protezler, doğal dişlerin estetiğine ve fonksiyonuna yakın bir deneyim sunar. Dişler hem görsel olarak hem de çiğneme fonksiyonu açısından doğal dişlere benzer özelliklere sahiptir.
- Kemik Kaybını Engeller: İmplantlar, çene kemiğiyle bütünleşerek kemik kaybını engeller. Diğer dişsizlik tedavileri, kemik erimesine yol açabilir, ancak All On 4, çene kemiğinin yapısını korur ve erimeyi engeller.
All On 4 İmplant Kimler İçin Uygundur?
All On 4 tedavisi, aşağıdaki durumlar için ideal bir çözüm sunar:
- Tam Dişsizlik Durumu: Eğer tüm dişlerinizi kaybettiyseniz ve dişsizlikten dolayı sosyal ve fonksiyonel zorluklar yaşıyorsanız, All On 4 implant tedavisi size en uygun çözüm olabilir.
- Çene Kemiği Yeterli Yoğunlukta Olan Hastalar: Çene kemiği yeterli yoğunluğa sahip olmayan bireylerde, geleneksel implant tedavileri bazen komplikasyonlarla sonuçlanabilir. All On 4, çene kemiğinin doğal yapısına uygun bir şekilde yerleştirildiği için kemik kaybı olan hastalarda bile etkili sonuçlar verebilir.
- Genel Sağlık Durumu Cerrahi Müdahaleye Uygun Olanlar: All On 4, genellikle cerrahi müdahaleye uygun olan sağlıklı bireyler için uygundur. Ancak diyabet, osteoporoz gibi hastalıkları olan bireylerde tedavi süreci başlamadan önce detaylı bir değerlendirme yapılmalıdır.
Tedavi Sonrası Bakım ve İyileşme Süreci
All On 4 tedavisinden sonra, hızlı bir iyileşme süreci geçirebilirsiniz. Ancak tedavi sonrası bakım, tedavinin başarısı için kritik öneme sahiptir:
- İlk günlerde sıvı ve yumuşak gıdalar tercih edilmelidir. Sert yiyeceklerden ve sıcak içeceklerden kaçınılmalıdır.
- Ağız hijyenine özen gösterilmeli, doktorun önerdiği bakım talimatlarına eksiksiz şekilde uyulmalıdır.
- Düzenli kontroller, implantların çene kemiğiyle kaynaşmasını sağlamak için aksatılmamalıdır.

All On 4 İmplant Fiyatları
All On 4 implant tedavisi, sağladığı avantajlar ve sağlıklı, doğal görünümlü sonuçlarla dikkat çekici bir çözüm olsa da, fiyatlandırma konusunda da bazı önemli faktörler devreye girer. Fiyat, yalnızca kullanılan malzeme ve implant sayısına değil, tedavi sürecinin kapsamına, uygulanacak olan cerrahi müdahalelere ve kullanılan teknolojilere de bağlı olarak değişkenlik gösterebilir. Bu bölümde, All On 4 tedavisinin maliyetini etkileyen faktörleri ve tedavi fiyatlarının ne kadar olabileceğini detaylı bir şekilde ele alacağız.
All On 4 İmplant Fiyatlarını Etkileyen Faktörler
- Klinik ve Uzmanlık: All On 4 tedavisini gerçekleştiren diş hekimlerinin deneyimi ve uzmanlık seviyesi, fiyat üzerinde doğrudan etkilidir. Deneyimli ve alanında uzman bir diş hekimi, tedavi sürecinin daha başarılı olmasını sağlar, ancak bu da fiyatın daha yüksek olmasına neden olabilir.
- Klinik ve Lokasyon: Tedavinin yapıldığı klinik de fiyatları etkileyen önemli bir faktördür. Büyük şehirlerdeki klinikler genellikle daha yüksek fiyatlar talep edebilirken, yerel kliniklerde fiyatlar biraz daha uygun olabilir. Ayrıca klinikte kullanılan altyapı ve teknoloji de fiyatı etkileyebilir.
- Kullanılan Malzemeler: İmplantın kalitesi, diş protezlerinin estetiği ve kullanılan materyaller de fiyatı etkileyen unsurlar arasında yer alır. Titanyum ve zirconium gibi yüksek kaliteli materyaller, fiyatı yükselten faktörlerdendir.
- Ek Cerrahi Müdahaleler: Bazı hastalar, çene kemiği grefti veya sinüs lifting gibi ek cerrahi müdahalelere ihtiyaç duyabilir. Bu tür ek işlemler, tedavi sürecinin daha karmaşık ve uzun hale gelmesine yol açar ve fiyatı artırabilir.
- İyileşme Süreci ve Takip: All On 4 tedavisinin ardından iyileşme süreci boyunca yapılan takipler, kontroller ve bakım hizmetleri de fiyatı etkileyen unsurlar arasında yer alır.
Yeditepe’de All On 4 İmplant Yaptırın.
All On 4 implant tekniği, hem estetik hem de fonksiyonel açıdan devrim niteliğinde bir çözüm sunarak, tam dişsizlik yaşayan bireylerin yaşam kalitesini önemli ölçüde artırır. Geleneksel diş tedavi yöntemlerinden farklı olarak, bu yöntem yalnızca dört implantla sabit bir diş seti oluşturulmasını sağlar, bu da tedavi sürecini daha hızlı, daha az cerrahi müdahale gerektiren ve maliyet açısından daha uygun hale getirir. Aynı gün geçici protezlerin yerleştirilmesi sayesinde, hastalar tedavi sürecinde dişsiz kalmadan günlük yaşamlarına devam edebilirler.
Her hastanın çene yapısı ve genel sağlık durumu farklı olduğundan, All On 4 implant tedavisinin başarısı, doğru planlama ve uzman bir ekip tarafından gerçekleştirilen bir tedavi sürecine bağlıdır. Yeditepe Diş Kliniği olarak profesyonel merkezimizde, sizin için en uygun tedavi planı belirlenebilir, aynı zamanda tedavi süreci boyunca tüm adımlar uzman kişiler tarafından takip edilir. İster estetik kaygılarla, ister fonksiyonel gereksinimlerle bu tedaviye başvuruyor olun, All On 4, dişsizlikle ilgili endişelerinizi geride bırakmanıza yardımcı olacak uzun ömürlü ve etkili bir çözüm sunar.
Tedavi sürecinde dikkat edilmesi gereken noktalar, iyi bir iyileşme süreci geçirebilmeniz için oldukça önemlidir. Düzenli kontroller, ağız hijyenine özen gösterilmesi ve doktorun önerilerine uyulması, tedavinin başarısını garanti altına alır. Ayrıca, tedavi sürecinin başlangıcında yapılan detaylı analizler ve planlama, hem estetik hem de fonksiyonel açıdan sizi en iyi sonuca ulaştırmak için belirleyici olacaktır.
Unutmayın ki All On 4 implant, sadece fiziksel sağlık değil, aynı zamanda özgüveninizi ve yaşam kalitenizi artırmanıza yardımcı olur. Yeni gülüşünüz, sosyal yaşamınızda ve günlük aktivitelerinizde büyük bir fark yaratabilir. Eğer siz de tam dişsizlikle mücadele ediyorsanız ve uzun vadede sağlıklı bir çözüm arıyorsanız, All On 4 implant tekniği sizin için mükemmel bir seçenek olabilir.
Gülerken ve çiğnerken tekrar doğal bir deneyim yaşamak, dişsiz günlerinizi geride bırakmak için All On 4 tedavisini düşünebilir ve uzman klinikler ile iletişime geçebilirsiniz. Sağlıklı, güçlü ve estetik bir gülüşe sahip olmak, yalnızca bir tedavi süreci değil, aynı zamanda yeni bir başlangıçtır.
